
بهزاد هوشمند، متخصص و جراح لثه با اشاره به بیماریهای لثه افزود: تحلیل و تورم لثه که منشأ التهابی و غیر التهابی دارد، تغییر رنگ و تغییر ماهیت لثه، ترشح چرک از شیار و خونریزی لثه، قوام لثه و جابهجایی دندانها بر اثر بیماریهای لثه ایجاد میشود. همچنین ممکن است بر اثر تخریب استخوان فک نیز ایجاد شود.
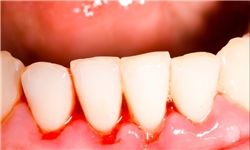
وی، خونریزی را شایعترین علامت بیماریهای لثه دانست و ادامه داد: خونریزی از لثه ممکن است خود به خود یا به دنبال تحریک غذا خوردن باشد. خونریزی ممکن است به دنبال میوه خوردن و مسواک زدن باشد. خارش لثه و درد مبهم در لثه از سایر نشانههای وجود بیماری لثه و نسوج نگهدارنده دندان است.
این متخصص و جراح لثه با بیان اینکه خونریزی از لثه میتواند به دنبال التهاب باشد، تاکید کرد: لثه متورم میتواند با کوچکترین تحریک، دچار خونریزی شود. خونریزی اگر خود به خود باشد علل عمومی باید بررسی شود. به عنوان مثال ممکن است اشکال سیستم انعقادی خون، موجب خونریزی از لثه یا خونریزی از بینی شود. البته شیوع این حالت، نسبت به بیماریهای لثه کمتر است، اما وجود دارد. البته مصرف برخی داروها هم ممکن است موجب خونریزی از لثه شود. توصیه میشود خونریزی از لثهها را جدی گرفت و بررسی توسط متخصص انجام شود.
وی عامل اصلی التهاب و خونریزی لثه و نسوج نگهدارنده دندان را بیماریهای میکروبی و بیماری عفونی دانست و گفت: برداشتن جرم از روی دندان باید انجام شود، چون پلاک میکروبی میتواند روی جرم تشکیل شود.
هوشمند در پاسخ به این پرسش که آیا بزاق افراد میتواند بر جرم سازی روی دندان نقش داشته باشد؟، افزود: بله. اگر کلسیم و فسفر بزاق افراد بالاتر باشد این بزاق جرمساز است. برای تشکیل جرم نیاز به میکروب نداریم؛ اما سطح جرم، سطح ناهموار و خشنی است که میکروب را نگه میدارد. هر عاملی که باعث شود مجموعه میکروبی داخل دهان تشکیل شود شرایط را به سمتی هدایت میکند که تخریب نسوج نگهدارنده دندان اتفاق بیفتد.
وی در پایان با بیان اینکه سیگار کشیدن از عوامل اصلی آسیبزننده به سلامت لثههاست در برنامه رادیویی سلامت اظهارداشت: میکرو ارگانیسمهای موجود در لثه میتوانند از طرق جریان خون به تمام ارگانهای بدن گسترش یابد و عوارضاش را در آن ارگانها بگذارد.
خونریزی لثه یکی از مشکلات نگران کنندهای است که به دلیل عفونت لثه، عدم رعایت بهداشت دهان و دندان یا برخی بیماریهای داخلی بروز میکند. افراد مبتلا در حین مسواک زدن یا خوردن یک میوه سفت دچار خونریزی لثه میشوند.
منبع: فارس